Further Revelations on Essential Me

teaching We recently created a higher resolution map of essential me, where what we used to call ‘conscious me’ was divided into two separate identities: conscious me and pure conscious me. This division is not arbitrary or superfluous: it is a more accurate reflection of the dimension of consciousness.

So now we have five centers in consciousness: four in essential me (fundamental me, pure conscious me, conscious me and the observer) and then pure me of consciousness. The core of the four centers of essential me is conscious me, which is essence-me awakened. The direct expression of conscious me is its secondary center of the observer, which has its own center of subjectivity. Pure conscious me is the embodied expansion both behind and below conscious me: it is the pure me of conscious me that is born through the expansion of conscious me through pure attention into beingness. Conscious me itself has presence but has no being. Hence its awakening must be supported by the awakening of pure conscious me. Then finally, below pure conscious me is fundamental me, which is in fact the pure me of pure conscious me. It is easier to recognize fundamental me because this center has a very distinct location, below the eyebrows and down to the lower cheekbones. The other three centers are all experienced above the eyebrows, around the area of the so-called ‘third eye’.

Since the last article, we have further modified some of the associated terminology regarding the samadhi of each center of essential me. When fundamental me reaches absence we call this realization the ‘fundamental state’. Fundamental me transforms, not only through reaching absence but through fully embodying absolute I am, into ‘absolute fundamental me’. When pure conscious me reaches vertical samadhi we call this realization ‘absolute essential consciousness.’ When pure conscious me embodies absolute I am it transforms into ‘absolute pure conscious me.’ Then, when conscious me merges with absolute pure conscious me and through that with absolute I am, we realize the primordial state. Here, the unity of conscious me and pure conscious me transforms into primordial me. Finally, when the observer reaches samadhi in primordial me, it is transformed into the pure observer. Here, the secondary center of conscious me becomes merged with the primary center of conscious me, while retaining its unique quality and function as the center and identity of external attention. The observer in samadhi gives rise to the sealed state.

Distinguishing between the Observer, Conscious Me and Pure Conscious Me

While these changes are conceptually not very difficult to grasp, many students will find it challenging to distinguish between conscious me and pure conscious me. On some level, this can be even more challenging than distinguishing between conscious me and the observer. These three centers are all very close to each other and confined to a very fine space energetically. One has to develop great sensitivity to awaken all these centers more deeply and be able to fully grasp them.

So first of all, how does one differentiate between conscious me and the observer? Conscious me is experienced at the very front of the head, in a very energetically pinpointed location, one and a half inches above the eyebrows. The observer is experienced in the same location as conscious me. However, it is either slightly in front of it (the visual observer) or slightly up from it (mental observer). The observer is as if extending itself from conscious me by forming a center of external attention.

Next, how does one differentiate conscious me from pure conscious me? As we have said, conscious me has no being, but through its intention to rest, the light of pure attention opens the space of being behind and beneath conscious me. In this way it forms a new center of consciousness – pure conscious me. So pure conscious me is the being of conscious me, but it is also a distinct center of me, the pure me of conscious me. When one relaxes from conscious me into its beingness and activates pure conscious me, one may not be able to recognize that it is new me. Rather, one will assume that it is just conscious me in a condition of restfulness. This is not a big problem, and one can certainly evolve and progress without being aware of this distinction. However, it is also possible that somewhere along the way one’s evolution will become fragmented, where some of the centers of essential me remain incomplete.

As we have said, many students will find it difficult to experience the difference between conscious me and pure conscious me, because it is extremely subtle. This begs the question: why have we made this distinction at all, if one conceptually defined center was enough to progress with? As we have already suggested, one can progress without making this distinction, but one can certainly do better. For instance, in the past we used the term conscious me to describe a combination of what is now conscious me, pure conscious me and fundamental me. But how many students were able to experience fundamental me clearly on their own, without receiving energy of transmission? Certainly not many. Now we have a similar situation: there is still confusion around the upper centers of essential me, and this can lead to various problematic scenarios.

We have spoken about a scenario in which conscious me is present but the observer remains unconscious. And indeed, there is another scenario where pure conscious me is present but conscious me remains partially unconscious or unintegrated. It is also possible that both conscious me and the observer are fragmented, while one is clearly experiencing pure conscious me. Here, the self-conscious observer tries to fill the gap of presence in the absence of conscious me, so pure conscious me and the self-conscious observer are present, but conscious me is lost. Alternatively, we have the scenario in which pure conscious me is not surrendering because it is too identified with with the presence of conscious me, thereby failing to become the true ‘being’ of conscious me. Or conscious me is realized but has not been fully separated from the observer, hence it is overly pulled out of its pure subjectivity by external attention, thus creating an excessive split between essence-me and pure conscious me.

So we are creating this conceptual division not just for the sake of having a more accurate picture of reality, but also to make sure that one’s personal evolution will not become imbalanced or stagnated, and that no stone of essential me is left unturned.

The problem with an overly high-resolution picture of our internal reality is that sometimes it is not practical and it complicates things too much. So we need to find a balance, because even though uncovering different hidden dimensions of consciousness is fascinating, our main purpose here is deeply practical. We want to help those who walk the path to realize their complete self and reach emancipation from suffering. That there are four centers of the essential me is simply a fact. Just as you have two hands, two legs, and ten fingers you have four centers of essential me. But if you look at your finger, you can either see the whole thing more generally, or you can further subdivide it into smaller parts: finger tips, finger nails, knuckles and so forth. And unless you are a doctor, or you are painting your nails or something, you don’t need to see the details of your fingers – practically it is simply unnecessary. In fact the majority of the time we will live our life in a low-resolution version of reality. In this way we save energy and prevent ourselves from becoming overly confused.

The comparison between our body parts and the various componants of essential me is flawed because the four centers of essential me become ‘facts’ only after we have realized them. As we know, the average person does not even have a proper observer and has no essential me to speak of. Many students are in-between: they have essential me but it is not fully realized or fully understood. Sometimes they experience the right thing, but more on an intuitive level, and they cannot see the details of their experience. This is also fine. The truth is that sometimes we can lower the resolution of our experience, but sometimes we need to heighten it; sometimes we can just be, and sometimes we need to polish our realization and dive into the intricacies of pure subjectivity.

***

Primary Me: The Relative Unity of Conscious Me and Pure Conscious Me

 

Now that we have recapped the recent revelations about essential me, we wish to add one more important concept to the family of essential me– primary me. Primary me signifies the relative unity of pure conscious me and conscious me. We have introduced this concept because, even if one succeeds in awakening both of these centers, commonly they are experienced too much apart, which means that there is a gap between essence-me (conscious me) and its being (pure conscious me). To bridge this gap, conscious me has to profoundly relax into pure conscious me so that essence-me becomes absorbed into its being. In the realization of primary me, conscious me is not yet fully absorbed in pure conscious me, but it has surrendered enough for them to be already felt as one center. In this one center, conscious me and pure conscious me are still distinct but they are no longer separated.; conscious me is closer to the observer while pure conscious me is closer to the fundamental me.

Primary me can also be considered as the precursor of primordial me, which is realized when conscious me comes to be fully merged with pure conscious me while simultaneously realizing vertical samadhi in absolute I am. So in primary me we have a lower realization of primordial me, lower on two significant levels: conscious me is not fully merged with pure conscious me, and neither conscious me nor pure conscious me are in vertical samadhi. Conscious me can merge with pure conscious me fully only if pure conscious me has arrived at vertical samadhi and transformed into absolute pure conscious me. But having entered absence on the level of pure conscious me does not guarantee that conscious me will itself enter absence. Conscious me has to surrender from its own center into the absolute I am through absolute pure conscious me, in order to reach samadhi and transform into primordial me. So, we can consider primordial me as primary me fully realized and in vertical samadhi.

Question and Answers From Students: Primary Me

You have introduced the term ‘primary me’. What is the difference between primary me and conscious me?

The way that we used the term ‘conscious me’ in the past actually included both conscious me and pure conscious me. So what we have recently done is split that wider definition of conscious me into two: pure conscious me and conscious me. This gives conscious me more precise definition, and distinguishes the awakened essence-me (conscious me) from its beingness, which is pure conscious me. Pure conscious me is the being of conscious me. And we can also say that conscious me is the being of the observer. These three centers are all interconnected. The observer is the most external: it is the identity of the activity of conscious me. Conscious me is essence-me awakened that is experienced in a very pinpointed way as the pure subjectivity directly behind the observer, and exists entirely independently of external attention. Pure conscious me is a more spacious identity of being behind and below conscious me, and can be distinguished from conscious me by the fact that it has the fundamental quality of restfulness, which conscious me in itself does not possess.

The relative unity of conscious me with pure conscious me is what we call ‘primary me’. We have introduced this term to reflect the relative unity of conscious me and pure conscious me. When each of these centers is initially awakened, there can be too much of a gap between them. So for primary me to be realized, conscious me has to surrender and rest in pure conscious me until they both are experienced as one, relatively unified center.

So your past guidance on awakening conscious me was in fact referring to the awakening of primary me, both conscious me and pure conscious me?

Yes, exactly. However, now that you understand that this primary me is composed of two elements, conscious and pure conscious me, you can experience it in a more complete way. For instance, by following past guidance you might awaken pure conscious me but not conscious me, or the other way around, awaken conscious me and not pure conscious me. A more precise guidance would be to first of all distinguish these two centers and awaken them separately before then moving towards unifying them properly and realizing the complete experience of primary me.

How can I know that I experience primary me, and not just conscious me or pure conscious me on its own?

A good question, and the answer will become clear as you gain more understanding of essential me. First of all, you must be experientially clear about the difference between conscious me and pure conscious me. If you experience conscious me alone, you have no access to restful abidance and you are bound by an excessive sense of presence which can actually be quite uncomfortable. Pure conscious me is the being of conscious me, and so to be in it is to experience a level of vertical rest. So conscious me without pure conscious me is shallow and too present; it has no access to restfulness.

It can be more tricky to identify when you experience pure conscious me without conscious me. Pure conscious me can feel quite present even if conscious me is not properly realized, because it is borrowing the energy of presence from essence-me, of which it is an emanation. The best way to check if conscious me is there is to feel the identity of the observer and then to feel who is behind the observer at the very front of the head. Pure conscious me is energetically deeper both horizontally and vertically, while conscious me is on the surface of the forehead, though slightly behind the observer. By activating the observer you can pinpoint the location of conscious me. So if you have awakened conscious me to some degree but still remain confused about it, you can repeat the process of going through the self-conscious observer and feeling the identity of essence-me behind it.

After you are clear about the distinct experiences of conscious me and pure conscious me, you can then see that it may be difficult to experience them simultaneously because they are too separated; attention and recognition fluctuates between conscious me and pure conscious me. They feel separated because conscious me is not unified with pure conscious me, and this unification is the result of conscious me letting go into pure conscious me. In primary me, not only are these two centers present but conscious me is fully resting in pure conscious me. So even though there are still two centers, the distinction between them becomes transparent and they feel more like one center.

Are pure conscious me and fundamental me pure mes or essential mes?

Both is true. They belong to essential me, but they are also pure mes. They are the pure mes of essence-me. Pure conscious me does not have essence-me: it is an extension of essence-me that has its own subjectivity. It is what we call the pure me of conscious me. Then fundamental me is the further emanation of essence-me: it is the pure me of pure conscious me.

When pure me of consciousness is realized, it is very far from essence-me. It is only connected to it indirectly, through the surrender of pure attention. So here there is a leap from essence-me to pure me, and pure me of consciousness is clearly experienced as a very different center to conscious me. Because it is energetically at a distance from conscious me, it has less presence and more absence, hence the experience of it is more elusive and many seekers fail to actually identify pure me as a dimension of their subjectivity.

On the other hand, pure conscious me and fundamental me are very close to essence-me and are naturally more linked to presence than to absence. As a result, their experience is more tangible than, for instance, pure me of consciousness. We could call the two pure mes in the family of essential me “pure essential me”. Pure essential me is a combination of pure me and essence-me – it is not essence-me and it is not pure me but something in-between. Within this, because fundamental me is itself an extension of pure conscious me, it is further removed from essence-me and as such is experienced more on the side of pure me than essence-me. In other words, pure conscious me has more the quality of essence-me, and fundamental me has more the quality of pure me.

How can I distinguish between the observer and conscious me? They seem to be so close to each other.

You need to listen to the guided meditations and contemplate this most subtle area of consciousness deeply. First of all, try to fully separate conscious me from the observer, which means you experience your pure subjectivity of conscious me in complete isolation from external attention. Then activate conscious thinking and feel how a new sense of identity emerges in order to connect to a thought. This identity, which is the secondary center of conscious me (the observer), is as if top of conscious me, while conscious me itself is not involved in external attention at all. So here you are simultaneously experiencing both the primary and secondary centers of conscious me and can clearly identify the difference between them. They are indeed very close to each other, but they are also very different.

How far back is pure conscious me located horizontally? How far do we need to surrender behind conscious me, and how far is too far?

You needn’t worry about how deep pure conscious me should be felt horizontally. Just feel it where it is, naturally. There is no need to check it too much, as you will end up manipulating the experience. Just be natural. The horizontal depth of pure conscious me is very slight, so slight that one may not even notice it. Still, it is there and it has important role to play, including opening up the energetic connection between pure me of consciousness and essential me and to create a bridge between pure consciousness and conscious me.

It is through intention of conscious me to relax and rest that a portion of pure attention expands beneath and behind it, which then transforms into pure conscious me. But even though there is a horizontal dimension to pure conscious me, pure attention does not surrender horizontally into order awaken pure conscious me; its horizontal dimension is a byproduct of vertical surrender or even just basic relaxation on the level of conscious me. You should not try to feel pure attention expanding from conscious me behind or beneath it, or else you will get confused. Simply relax as conscious me and conscious me will naturally give birth to its beingness of pure conscious me. Then, you will notice that your identity settles into this beingness easily. In fact, shifting identity to pure conscious me is quite straight forward. The problem is more that by moving into pure conscious me, one tends to disconnect from conscious me.

The process of giving birth to pure conscious me from conscious me is reminiscent of giving birth to conscious me from the observer. When the self-conscious observer relaxes, our sense of me shifts from external attention to conscious me. When it does, it is quite common to lose connection to the center of the observer. The difference, however, is that when the observer relaxes it activates the pure attention of essence-me. On the other hand, when conscious me surrenders, its pure attention expands into pure conscious me.

***

How Essential Me Maps onto the Anatomy of the Brain

 

Our detailed descriptions of essential me are based on direct experience, and can be clearly verified through your own experience. We give precise locations of states and centers in order to help you to acquire a sense of inner orientation and to focus your intention and attention in the correct way. For instance, we say essential me is experienced in the very front of the forehead. Then we go into more detail, identifying the location of conscious me as one and a half inches above the eyebrows, and the location of pure conscious me as slightly behind and below it. When exploring these matters, it is also interesting look at the anatomy of the brain. No one has yet understood the human brain, as it is exceedingly complex. However, scientists have made significant progress in gathering different information about how the brain functions and how these functions are distributed through different areas of the brain.

Can the anatomy of the brain help us to gain orientation on the spiritual level? Scientists generally agree that that the frontal lobe, which is located mostly in the forehead, is the seat of our intelligence. It is not the whole frontal lobe but its outer layer, which is called the ‘prefrontal cortex’. It seems that it is the prefrontal cortex that contains our essential-me, including the center of our intelligence, the observer. Then there two areas of the prefrontal cortex that are particularly of interest. The first is the upper-middle area which is called the dorsomedial prefrontal cortex and seems to correspond with location of conscious me and the observer. The second is the lower area, which is called the orbitofrontal cortex and seems to correspond with the point where both pure conscious me and conscious me reach vertical absence. dorsomedial-prefrontal-cortex While there is no ‘scientific’ correlation between the orbitofrontal lobe and the surrender of primary me, there is an interesting quote related to the dorsomedial prefrontal cortex:

“In mammalian brain anatomy, the dorsomedial prefrontal cortex is a section of the prefrontal cortex (PFC). It is involved in creating a sense of the self. This sense of self that the dorsomedial prefrontal cortex is involved in is the what Claparede referred to as “me-ness”. It is also involved in what is called “Theory of mind”, or considering the mental states of others. Brain activity in the dorsomedial prefrontal cortex has been shown to be significant in altruism. This region has been shown to be unusually inactive in people exhibiting psychological dissociation.” (link to reference)

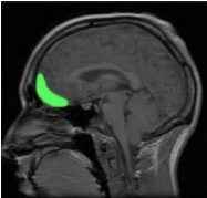
green-area-shows-the-orbitofrontal-cortex

Green area shows the orbitofrontal cortex

It seems the prefrontal cortex has many functions. When it is damaged, this results in damage to the basic functions of human intelligence including emotional responses. While feelings have their root in the heart and emotions in the solar plexus, they are actually processed in the prefrontal cortex. Otherwise they do not reach the threshold of conscious mind and cannot be linked to consciousness. So for instance those whose emotional existence is completely distorted, such as a psychopath or sociopath, feel things like most other people but are unable to process them intelligently, causing their emotional responses to become perverted. Scientists have noticed that in these cases, the prefrontal lobe is unusually inactive.

To link this back to the main purpose of the article, we can take for example the question about how much horizontal depth pure conscious me has. That depth is, as we have said, very slight. When we look at the brain, we can say that this depth approximately corresponds to the depth of the prefrontal lobe goes, which is interesting. However, while this anatomical parallel is very interesting, you do not need to master the anatomy of the brain to gain the correct sense of orientation in your own head. We present this information more out of curiosity and to provide an additional point of reference as regards our physical brain. There is no such a thing as physical center or gland in the brain that can be identified as the seat of the soul, as has been sought by many mystics and philosophers in the past, such as Descartes.

Our brain is a complex neurological structure its many parts are interconnected in order to allow us experience our sense of self. Still, some areas of the brain clearly correspond to the location of the various centers of consciousness. For instance, pure me of consciousness is experienced in the same place as the visual cortex, and as we said, conscious me and the observer are initially experienced in the area of the dorsomedial prefrontal cortex, and the samadhi of conscious me and pure conscious me are experienced in the location of the orbitofrontal cortex. The fact that conscious me can actually change its location in the brain obviously means that it does not have a fixed place but rather an approximate location that is further modified by its own evolution.

One thing that is rather fascinating is that fundamental me is the only aspect of consciousness that is not experienced in the brain. This indicates how important fundamental me; it is teaching us how to transcend the constraints of the physical brain while not losing connection with the pure subjectivity of consciousness.

So to conclude our anatomical contemplations: it seems essence-me awakens initially in the dorsomedial prefrontal cortex and enters the absolute I am in the orbitofrontal cortex.

Blessings,
Aadi

For a precise glossary of terminology, please visit the Glossary page. Click here for a printable version of this article.